Wybierz badanie

DIAGDENT - Pracownie Radiologii Stomatologicznej i Laryngologicznej

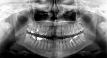
pantomogram

Pracownie radiologii stomatologicznej i laryngologicznej DIAGDENT to sieć nowoczesnych placówek na terenie Warszawy, Wrocławia, Łodzi, Gdańska i Gdyni.

Oferujemy wysokiej jakości badania diagnostyczne, takie jak: RTG punktowe, pantomogram, cefalometria, tomografia CBCT, cyfrowy skan zębów oraz dentystyczny protokół fotograficzny.

Charakteryzuje nas indywidualne podejście do pacjentów oraz ścisła współpraca z lekarzami. Nasz wyszkolony i doświadczony zespół elektroradiologów pracuje na najnowszym dostępnym sprzęcie diagnostycznym wiodącej firmy Carestream. W DIAGDENT jesteś zawsze w dobrych rękach!

Zalety Diagdent
Czytelne badania wysokiej jakości Czytelne badania wysokiej jakości

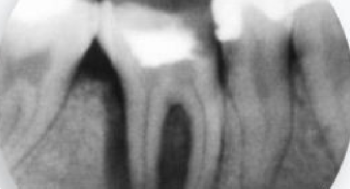
Efektywne leczenie stomatologiczne w większości przypadków wymaga dokładnej diagnostyki, opierającej się na zobrazowaniu stanu uzębienia, kości szczęki czy żuchwy. Jednym z popularnych sposobów diagnostyki stomatologicznej jest zdjęcie pantomograficzne, czyli pantomogram. Pozwala ono uzyskać precyzyjny obraz struktur, z odwzorowaniem wszelkich krzywizn i ewentualnych nieprawidłowości. Zaawansowaną diagnostykę zapewnia tomografia komputerowa CBCT, która oferuje obrazowanie w technologii 3D.

Indywidualne podejście do każdego pacjenta Indywidualne podejście do każdego pacjenta

Nie istnieją dwa identyczne przypadki uzębienia, dlatego każdego pacjenta traktujemy indywidualnie. Dzięki takiemu podejściu, pacjenci DIAGDENT mają pewność, że ich badania będą wykonywane i analizowane z należytą dokładnością. O komfort podczas wizyty zadbają wykonujący badania elektroradiolodzy, a także pomocni pracownicy działu obsługi klienta.

Konkurencyjne ceny Konkurencyjne ceny

Stale podnosimy kwalifikacje naszego zespołu i regularnie inwestujemy w kosztowny, nowoczesny sprzęt diagnostyczny. Mimo to od lat oferujemy jedne z najniższych cen na rynku. W cenie badania pacjent otrzymuje jego wynik na nośniku CD lub na kliszy (tylko badania 2D) oraz on-line na Portalu Pacjenta Diagdent. Atrakcyjne ceny badań oraz dogodne lokalizacje wszystkich naszych pracowni sprawiają, że stomatologiczne badania radiologiczne są powszechnie dostępne dla mieszkańców Warszawy, Wrocławia, Łodzi, Gdańska i Gdyni.

Szybkie zapisy i krótki czas oczekiwania na wyniki Szybkie zapisy i krótki czas oczekiwania na wyniki

Dbamy o czas naszych pacjentów! Wykonujemy badania w ekspresowym tempie jednocześnie czuwając nad ich najwyższą jakością i troszcząc się o komfort pacjentów. Czas od momentu przybycia pacjenta do pracowni do otrzymania wyniku badania takiego, jak np. pantomogram, to zaledwie 10-15 min. Dzięki temu, że DIAGDENT posiada aż siedem pracowni na terenie całej Warszawy dojazd do nas z dowolnego miejsca w stolicy nie powinien zająć dłużej niż 15-20 minut. Świetna lokalizacja wrocławskiej pracowni DIAGDENT w dzielnicy Stare Miasto sprawia, że do naszej placówki wygodnie i szybko dojadą wszyscy mieszkańcy Wrocławia. Pracownie Łódź Bałuty oraz Łódź Górna są znakomicie skomunikowane ze wszystkimi rejonami Łodzi oraz aglomeracji łódzkiej. Nasza placówka w Gdańsku znajduje się w dzielnicy Wrzeszcz w pobliżu przystanku SKM i wielu linii komunikacji miejskiej. Pracownia w Gdyni zlokalizowana jest w Śródmieściu, tuż obok dworca PKP Gdynia Główna.   

Komfortowa, przyjazna i bezpieczna obsługa pacjentów Komfortowa, przyjazna i bezpieczna obsługa pacjentów

W DIAGDENT dbamy o komfort pacjentów już od momentu wybrania numeru naszej infolinii. Nasi pracownicy zawsze chętnie służą pomocą. Wychodzimy z założenia, że najwyższa jakość badań radiologicznych powinna iść w parze z najwyższą jakością obsługi. Dlatego dużo uwagi przywiązujemy do satysfakcji i zadowolenia wszystkich, którzy nas odwiedzają. Starannie dobieramy kadrę do naszych placówek i uczestniczymy w szkoleniach dotyczących przyjaznej obsługi pacjentów. 

Chcesz poznać więcej naszych zalet?

Umów się na wizytę
i przekonaj się sam!

Zadzwoń
733 70 90 90

Nasze placówki
Odwiedź nas w jednej z naszych pracowni w Warszawie
Znajdź najbliższą placówkę

DIAGDENT SASKA KĘPA
(Praga Południe)

ul. Brazylijska 13
03-946 Warszawa

22 416 31 17

111, 123, 141, 143, 151, 182, 188, 502, 514, 520, 523, 525

Wyznacz trasę

DIAGDENT BIAŁOŁĘKA
(okolice Factory Annopol)

ul. Białołęcka 166D
03-253 Warszawa

22 675 77 10

104, 204

Wyznacz trasę

DIAGDENT URSYNÓW
(okoliceStokłosy)

Pasaż Ursynowski 1/U6
02-782 Warszawa

22 644 00 05

179, 192, 193, 209, 239, 401, 809, 815

Stokłosy: M1

Wyznacz trasę

DIAGDENT WŁOCHY
(okoliceWarszawa Włochy)

ul. Zdobnicza 8
02-439 Warszawa

22 299 13 05

127, 129, 189, 194, 228

PKP W-wa Włochy

Wyznacz trasę

DIAGDENT BIELANY
(okoliceMłociny)

ul. Przy Agorze 11a
01-960 Warszawa

22 126 69 42

104, 204

Wyznacz trasę

DIAGDENT TARCHOMIN
(przy Światowida)

ul. Książkowa 9A
03-134 Warszawa

22 299 48 09

118, 211, 509, 518

2, 17

Wyznacz trasę

DIAGDENT CENTRUM
(okoliceRONDO ONZ)

ul. Emilii Plater 36
00-698 Warszawa

22 299 13 45

106, 160, 174, 178

1, 9, 10, 11, 17, 33

Rondo ONZ: M2

Wyznacz trasę

DIAGDENT WROCŁAW
(Stare Miasto)

ul. Sądowa 14/lok.1A
50-046 Wrocław

71 307 61 61

122, 144, 240, 246, 251, 246, 250

4, 5, 11, 14, 15, 21, 22, 23

Wyznacz trasę

Zapraszamy do naszej pracowni we Wrocławiu
Pokaż placówkę
Odwiedź nas w jednej z naszych pracowni w Łodzi
Znajdź najbliższą placówkę

DIAGDENT ŁÓDŹ BAŁUTY
(przy Manufakturze)

ul. Lutomierska 46
91-004 Łódź

42 307 04 20

58B, 59, 65A, 65B, 73, 96

2, 3, 11

Wyznacz trasę

DIAGDENT ŁÓDŹ GÓRNA
(Park Handlowy Squer)

ul. Jana Kilińskiego 298
93-160 Łódź

42 307 28 05

59, 69B, 70, 72A, 92A, 92B

2

Wyznacz trasę

DIAGDENT GDAŃSK
(Politechnika)

ul. Stanisława Wyspiańskiego 2
80-434 Gdańsk

58 380 06 70

283

2, 3, 4, 5, 8

SKM Gdańsk Politechnika

Parking dla pacjentów

Wyznacz trasę

Zapraszamy do naszej pracowni w Gdańsku
Pokaż placówkę
Zapraszamy do naszej pracowni w Gdyni
Pokaż placówkę

DIAGDENT GDYNIA
(Gdynia Główna)

pl. Konstytucji 1
81-354 Gdynia

58 380 09 07

21, 22, 23, 24

103, 105, 109, 125, 140, 147, 150, 160, 172, 182, 190, 500, 510

PKP Gdynia Główna

Wyznacz trasę

Diagdent - Pracownie Radiologii Stomatologicznej i Laryngologicznej
Akceptujemy:

Karta VisaKarta Visa ElectroKarta MastercardKarta MaestroBlik - płatnośćPłatność bezdotykowaKarta Dużej Rodziny

Diagdent w social mediach:
© Diagdent - Wszelkie prawa zastrzeżone